Before & Afters

Real Smiles, Real Results
There’s nothing more rewarding than helping our patients rediscover their confidence through a healthy, beautiful smile. Whether it's subtle bonding or full smile restoration, each transformation at Red Tail Dental Care reflects our commitment to individualized, conservative care. Take a look at some of the smiles we’ve helped rejuvenate.


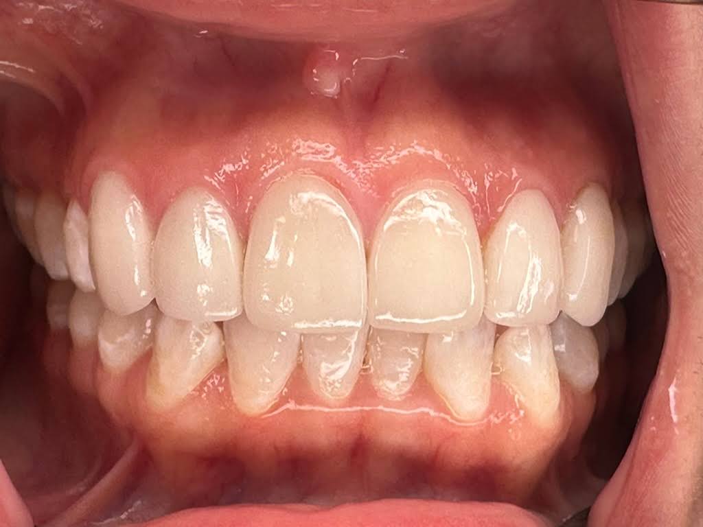
Veneers to correct stained and discolored enamels


Veneers to correct stained and discolored enamels


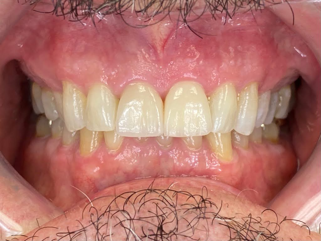
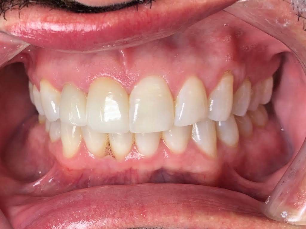
Two anterior crowns to correct and protect cracked teeth


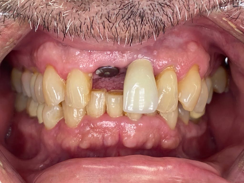
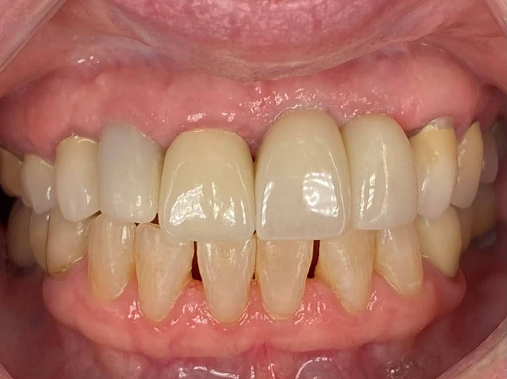
Two anterior implant crowns creating natural and harmonious smile


Two anterior implant crowns creating natural and harmonious smile


Replacing one discolored crown


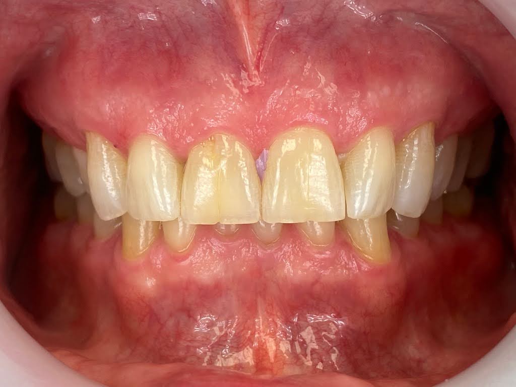
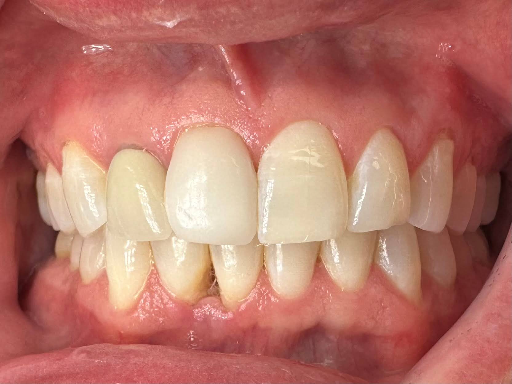
Six anterior crowns to repair broken and cavitated teeth

Let’s Get You Scheduled
Whether it’s time for your next checkup or you’re ready to reshape your smile, we’re here with compassionate care and clinical excellence every step of the way.